あなたは医療関係者ですか?

本サイト(Pathology Hub)は、日本国内の医療提供施設にご勤務されている医療従事者を対象としています。該当されない方はご利用いただけませんので、予めご了承ください。
ご利用には利用規約への同意が必要です。
ご同意いただける場合は以下の「はい」ボタンをクリックしてお進みください。
本サイトでは、利便性向上、利用履歴の収集・集計のためCookieを利用してアクセスデータを取得しています。
詳しくは利用規約をご覧ください。
アステラスの企業サイトをご利用の方はこちらからご覧ください。

いいえ

研究室で実験器具を握る青い手術用手袋をした手

検体処理とCLDN18検査

染色性に影響を与えるプレアナリシス段階の影響因子や速やかな検査実施の重要性など、CLDN18.2の検査方法についてご紹介します1,2

Grey concentric circles on light background

胃/GEJ癌における抗CLDN18抗体を用いたIHC検査

抗CLDN18抗体を用いると、主なアイソフォームであるCLDN18.1とCLDN18.2のいずれも検出します。ただし、下記の理由から、胃/GEJ癌組織において染色が認められた場合には、CLDN18.2が発現していると判断できます2,3

  • CLDN18.1は肺の正常組織および肺癌組織に特異的に発現している2,3
  • CLDN18.2は通常、胃上皮組織に発現しており、胃癌組織においても発現が維持されている2,3

検体処理と
プレアナリシス

正確な判定結果を得るためには、適切な検体の取り扱いと処理が不可欠です1,4

オーバーレイビデオ画像
プレイアイコン

Pathology Hub|CLDN18検査の情報サイト

Video Overlay Titlle

Video Overlay description

Pathology Hub|CLDN18検査の情報サイト

クローズアイコン
ボリュームアイコン

Pathology Hub|CLDN18検査の情報サイト

クローズアイコン

Pathology Hub|CLDN18検査の情報サイト

transcript

CLDN18検査のための検体処理方法

Takeshi Kuwata, MD, PhD

Various grey circles on light background

検体処理

使用する体外診断用医薬品等の電子化された添付文書の記載に従って処理すること4

冷虚⾎時間

検体は採取後速やかに固定すること4

固定

ベンタナOptiView CLDN18(43-14A)の固定条件は下記の通りです4

定規アイコン

固定に関する主な推奨事項4

  • 固定液は10%中性緩衝ホルマリンを使用し、固定には検体の15~20倍量を用いること。

アラーム時計アイコン

固定時間に関する主な推奨事項4

  • 10%中性緩衝ホルマリンを使用し、15~25℃で6~48時間固定すること。

組織固定が最適でない場合1

判定結果に影響を及ぼすアーチファクトを最小にするために、プレアナリシス段階のさまざまな要因を適切に処理することが大切です。

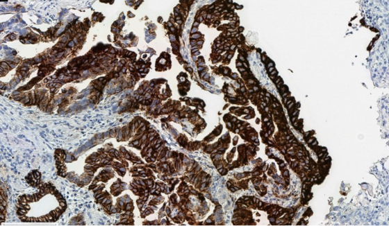
固定条件が不適切であったため、細胞質が染まり、膜染色性の評価に影響を及ぼしている例

固定不良により細胞質まで染まり、
膜染色性の評価に影響が及んだ検体例

標本作製4

  • 通常の処理を行ったホルマリン固定パラフィン包埋(FFPE)組織を使用すること。

  • CLDN18検査では、検体となる切片は4μmに薄切すること。

  • 薄切後は速やかに染色を実施すること。

Green circles on dark background
Grey and green circles on dark background

原発巣におけるCLDN18.2の発現をより正確に評価するために、可能であれば6回以上の生検を実施する必要があると考えられます2,5

Howtoprepare-Background

検査の実施タイミング

最適な治療薬の投与機会を逸しないためにも、適切なタイミングで検査を実施することが重要です

「切除不能進行・再発胃癌バイオマーカー検査の手引き(第2版)」では、適切なタイミングでバイオマーカー検査を実施し、治療方針を決定すべきとされています6

また、治療開始までの時間を短縮し、最適な治療薬の投与機会を逸しないために、CLDN18、HER2、MSI/MMR、PD-L1の4検査をすべて同時に実施することが推奨されています6

バイオマーカーの同時検査を実施しない場合には、各検査の陰性が確認された段階で、逐次検査を実施するフローが必要となります。

Turn Around Timeが長くなり、治療開始が遅れたり、場合によっては検体の再取得が必要となるケースも考えられます。リスクを回避し、臨床医・患者双方にデメリットが生じないように、適切なバイオマーカー検査を意識すべきであると考えられます。

監修:国立がん研究センター東病院 遺伝子診療部門 部門長 桑田 健 先生

監修:国立がん研究センター東病院 遺伝子診療部門 部門長 桑田 健 先生
MatteoFassan
spirals_corner
how-to-prepare-stains

CLDN18染色結果の判定について

参考資料:1. Compton CC, et al.: Arch Pathol Lab Med. 2019; 143(11): 1346-1363. 2. Fassan M, et al.: Mod Pathol. 2024; 37(11): 100589.(本論文の著者に同社より助成金、コンサルティング料等を受領している者、アドバイザリーボードメンバーが含まれる) 3. Sahin U, et al.: Clin Cancer Res. 2008; 14(23): 7624-7634.(本論文の著者にGanymed社の社員、アドバイザリーボードメンバーが含まれる) 4. ベンタナOptiView CLDN18(43-14A)電子添文 5. Pellino A, et al.: J Pers Med. 2021; 11(11): 1095.(本試験はアステラス製薬の支援により実施された。本論文の著者に同社より助成金、コンサルティング料等を受領している者が含まれる) 6. 日本胃癌学会編 : 切除不能進行・再発胃癌バイオマーカー検査の手引き 第2版