あなたは医療関係者ですか?

本サイト(Pathology Hub)は、日本国内の医療提供施設にご勤務されている医療従事者を対象としています。該当されない方はご利用いただけませんので、予めご了承ください。
ご利用にはPathology Hub利用規約への同意が必要です。
ご同意頂ける場合は以下の「はい」ボタンをクリックしてお進み下さい。
本サイトでは、利便性向上、利用履歴の収集・集計のためCookieを利用してアクセスデータを取得しています。
詳しくは利用規約をご覧ください。
アステラスの企業サイトをご利用の方はこちらからご覧ください。

いいえ

顕微鏡と組織サンプルを表示するコンピューターモニターを備えた研究室の設定 – 抽象的な白いドットパターンが重ねて表示されている

CLDN18.2とは?

CLDN18.2は胃/GEJ腺癌の治療選択を支援する、アクショナブルな効果予測バイオマーカーです1
胃/GEJ腺癌患者の約38%がCLDN18.2陽性であったと報告されています1-3

*75%以上の腫瘍細胞において、細胞膜がCLDN18の免疫組織化学(IHC)染色で中程度(2+)~強度(3+)の染色を示す。

カナダ、中国、ドイツ、スペイン、欧州 (ESMO) など世界各国のガイドラインで、進行胃/GEJ腺癌患者の診断時または検査時にIHCによるCLDN18.2検査を実施することが推奨されています4-8
灰色の同心円の抽象的なパターン

Claudin(クローディン)は全身に存在する一方で、CLDN18の2つのアイソフォームは特定の組織に局在します9,10

  • claudinは膜貫通タンパク質の一種です11,12
  • claudinはタイトジャンクションを構成し、上皮細胞のバリア機能や透過性、細胞極性の調節に関与しています11,12
  • 日本の「切除不能進行・再発胃癌バイオマーカー検査の手引き(第2版)」では、胃癌におけるバイオマーカーとしてCLDN18.2の発現評価が推奨されています13

 

 

 

 

CLDN18.1

緑の肺アイコン

主に肺の正常組織および肺癌組織に存在します9,10

CLDN18.2

緑の胃アイコン

主に胃の正常組織に存在し、癌化後も発現が維持されます9,10

Dr. Matteo Fassanの「CLDN18.2とは?」ビデオのスクリーンキャプチャ
プレイアイコン

Pathology Hub|CLDN18検査の情報サイト

Video Description Title

Video Description description

Pathology Hub|CLDN18検査の情報サイト

クローズアイコン
ボリュームアイコン

Pathology Hub|CLDN18検査の情報サイト

クローズアイコン

Pathology Hub|CLDN18検査の情報サイト

CLDN18.2とは?

Matteo Fassan, MD, PhD

正常細胞および癌細胞におけるCLDN18染色像(5倍)

正常細胞および癌細胞におけるCLDN18染色像(5倍)

非臨床のデータでは、胃組織の癌化により、CLDN18.2が細胞表面に露出する可能性が示されています9,14

正常組織における局在

 

CLDN18.2 がタイトジャンクションの構成要素として存在する正常な胃粘膜

正常な胃粘膜では通常、CLDN18.2はタイトジャンクションの構成要素として存在しています9,14

癌化後の発現維持と露出

 

細胞極性の崩壊と構造破壊により CLDN18.2 が露出

CLDN18.2は癌化の過程においてもその発現は維持されます。また、細胞極性が崩壊し、構造破壊が起きることで、CLDN18.2が細胞表面に露出すると考えられています9,14,15

転移巣における発現維持

 

胃腺癌のリンパ節転移巣や遠隔転移巣において発現するCLDN18.2

CLDN18.2は胃腺癌のリンパ節転移巣や他の遠隔転移巣においても発現していると考えられています9,16-18

CLDN18.2は、食道癌、膵癌、粘液性卵巣癌のほか、非小細胞肺癌にも発現が認められています9

スパイラル背景
セクショングラフィックイメージ
暗い背景にさまざまな灰色の円の画像
CLDN18.2は進行胃/GEJ腺癌において約38%に認められたバイオマーカーです1,2

治癒切除不能な進行・再発の胃癌(GEJ腺癌を含む)患者4507例を対象とした2つの国際共同第Ⅲ相試験では、スクリーニングが実施され、IHC検査で評価可能であった患者の約38%*1がCLDN18.2陽性*2でした2

  • CLDN18.2の発現程度別の頻度は双極性を示したと報告されています2,13
  • CLDN18.2は、ほかの多くのバイオマーカーと同様に、IHC法を用いて評価します2

*1:VENTANA CLDN18(43-14A)RxDx Assayを用いたIHC法による中央判定
*2:75%以上の腫瘍細胞において、細胞膜がCLDN18のIHC染色で中程度(2+)~強度(3+)の染色を示す。

 

国際共同第Ⅲ相試験:SPOTLIGHT試験
(海外データを含む)[検証試験]

【試験概要】CLDN18.2陽性かつHER2陰性の治癒切除不能な進行・再発の胃癌(GEJ腺癌を含む)患者565例を対象に、1:1の割合でゾルベツキシマブ+mFOLFOX6群およびプラセボ+mFOLFOX6群にランダムに割り付けた。なお、ホリナートはmFOLFOX6療法では国内承認外である。

 

国際共同第Ⅲ相試験:GLOW試験
(海外データを含む)[検証試験]

【試験概要】CLDN18.2陽性かつHER2陰性の治癒切除不能な進行・再発の胃癌(GEJ腺癌を含む)患者507例を対象に、1:1の割合でゾルベツキシマブ+CAPOX群およびプラセボ+CAPOX群にランダムに割り付けた。

CLDN18.2陽性
進行胃/GEJ癌を対象とした3つの研究では、

下記に示すバイオマーカーの発現状況によって、CLDN18.2の発現に明らかな差は認められませんでした16,19,20

  • HER2
  • PD-L1
  • dMMR

 

*3つの単施設の研究データ。研究1はイタリアのPaduaで実施された進行胃癌患者 (280例)およびGEJ癌患者(70例) を対象とした研究16、研究2は日本人進行胃/GEJ腺癌患者408例を対象とした研究19、研究3はMD Anderson Cancer Center (MDACC)で実施された進行胃/GEJ腺癌患者304例を対象とした研究20でした。

 

治療選択が進展している一方で、転移性胃/GEJ癌には依然としてアンメットニーズが残されています
  • 2021年における日本の胃癌の罹患数は11万2,881例でした21
  • 日本のStage Ⅳの胃癌患者における5年純生存率は約6%であったと報告されています22

 

Image of combination of various light grey concentric and overlapping circles on light background

CLDN18.2の発現プロファイルと臨床病理学的パラメータの関連性について、複数の研究結果が報告されています1, 2, 23, 24

2つの国際共同第Ⅲ相試験においてスクリーニングを受けた患者における疾患特性および腫瘍検体特性別のCLDN18.2陽性率(4507例)2

 

CLDN18.2の発現プロファイルと臨床病理学的パラメータの関連性について、複数の研究結果が報告されています1, 2, 23, 24
Shitara K, et al.: Gastric Cancer. 2024; 27(5): 1058-1068.より改変
(https://creativecommons.org/licenses/by/4.0/)
【目的】国際共同第Ⅲ相試験であるSPOTLIGHT試験およびGLOW試験で検査された患者から得られた腫瘍検体のCLDN18.2陽性率、CLDN18.2発現状況と人口統計学的特性、臨床的特性、病理組織学的特性との関連について調査した。
【調査方法】CLDN18.2陽性かつHER2陰性の治癒切除不能な進行・再発の胃癌(GEJ腺癌を含む)患者を対象としたSPOTLIGHT試験およびGLOW試験において、骨を除く原発性または転移性腫瘍部位から生検により治療前の任意の時点の腫瘍サンプルを収集した。CLDN18.2の発現状況は、VENTANA CLDN18(43-14A)RxDx Assayを用いた免疫組織化学(IHC)法で検査し、75%以上の腫瘍細胞の細胞膜で中程度~強度のCLDN18染色が確認された場合にCLDN18.2陽性とした。CLDN18.2発現状況と人口統計学的特性、臨床的特性および組織病理学的特性との関連の仮説検定はχ2検定を用いて行い、欠落、不明、またはその他と記載された患者のデータは除外した。
【Limitation】症例数は多いものの、本結果をHER2陰性の切除不能進行・再発の胃癌(GEJ腺癌を含む)のすべての患者に一般化することは困難である。

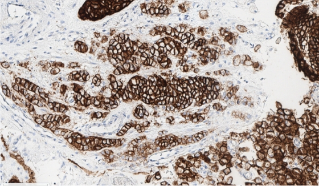
胃癌の手術検体



5x magnification of CLDN18-stained normal gastric epithelium and tumour cells.

正常胃上皮と腫瘍細胞のCLDN18染色像(5倍)

胃癌の生検検体


stain-gastriccancer-5x

正常胃腺と腫瘍細胞のCLDN18染色像(5倍)

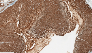
胃癌の生検検体


stain-gastriccancer-20x

CLDN18染色像(20倍)

灰色の同心円の抽象的なパターン
CLDN18.2発現状況は原発巣と転移巣で一致することが示唆されました

胃/GEJ腺癌患者のデータから、原発巣と転移巣のCLDN18.2発現状況は一致したと報告されています17, 23, 24

リンパ節転移:原発性胃/GEJ腺癌患者523例を対象とした研究によると、同一患者における原発巣と同時性リンパ節転移巣(135組)のCLDN18.2発現状況の一致率は下記の通りでした。

 

同一患者における原発巣とリンパ節転移巣のCLDN18.2発現状 況の一致率17

 

腹膜転移:2つの研究によると、原発巣と腹膜転移巣のCLDN18.2発現状況の一致率は下記の通りでした23, 24

 

同一患者における原発巣と腹膜転移巣のCLDN18.2発現状況の 一致率23
同一患者における原発巣と腹膜転移巣のCLDN18.2発現状況の 一致率24
CLDN18.2の発現には腫瘍内不均一性があると考えられています

HER2などほかのバイオマーカーと同様に、胃/GEJ腺癌におけるCLDN18.2の発現には腫瘍内不均一性があると考えられていることから、検体採取時はこの点を考慮する必要があります17, 25

原発巣と転移巣のCLDN18.2発現状況の一致率を報告した研究では、腫瘍内不均一性が下記の割合で認められました17

  • 40.3%

    原発性胃癌

  • 33.6%

    原発性GEJ癌

  • 28.8%

    リンパ節転移巣



灰色の同心円の抽象的なパターン
明るい背景に灰色の同心円

検体処理と検査の詳細については、こちら

明るい背景にさまざまな明るい灰色の同心円と重なり合う円を組み合わせた画像

参考資料:1. Fassan M, et al.: Mod Pathol. 2024; 37(11): 100589.(本論文の著者に同社より助成金、コンサルティング料等を受領している者、アドバイザリーボードメンバーが含まれる) 2. Shitara K, et al.: Gastric Cancer. 2024; 27(5): 1058-1068.(本試験はアステラス製薬の支援により実施された。本論文の著者に同社より助成金、コンサルティング料等を受領している者、同社の社員が含まれる) 3. Shah MA, et al.: Nat Med. 2023; 29(8): 2133-2141.(本試験はアステラス製薬の支援により実施された。本論文の著者に同社より助成金、コンサルティング料等を受領している者、同社の社員が含まれる) 4. Brezden-Masley C, et al.: Curr Oncol. 2024; 31(12): 7770-7786. 5. Wang FH, et al.: Cancer Commun (Lond). 2024; 44(1): 127-172. 6. Lordick F, et al.:  Onkopedia. German S3 guideline on gastric cancer 2025 update. https://www.onkopedia.com/en/onkopedia/guidelines/gastric-cancer/@@guideline/html/index.html(2025年12月閲覧) 7. Alsina Maqueda M, et al.: Clin Transl Oncol. 2025; 27(9): 3580-3594. 8. ESMO. Gastric Cancer Living Guidelines. Version 1.4. September 2024. https://www.esmo.org/guidelines/living-guidelines/esmo-living-guideline-gastric-cancer/diagnosis-pathology-and-molecular-biology.(2025年12月閲覧) 9. Sahin U, et al.: Clin Cancer Res. 2008; 14(23): 7624-7634.(本論文の著者にGanymed社の社員、アドバイザリーボードメンバーが含まれる) 10. Niimi T, et al.: Mol Cell Biol. 2001; 21(21): 7380-7390. 11. Tsukita S, et al.: Trends Biochem Sci. 2019; 44(2): 141-152. 12. Hu YJ, et al.: Mol Biol Rep. 2013; 40(11): 6123-6142. 13. 日本胃癌学会編 : 切除不能進行・再発胃癌バイオマーカー検査の手引き 第2版 14. Sahin U, et al.: Eur J Cancer. 2018; 100: 17-26 .(本試験はGanymed社の支援により実施された。本論文の著者に同社よりコンサルティング料を受領している者、同社の社員が含まれる) 15. Lamouille S, et al.: Nat Rev Mol Cell Biol. 2014; 15(3): 178-196. 16. Pellino A, et al.: J Pers Med. 2021; 11(11): 1095.(本試験はアステラス製薬の支援により実施された。本論文の著者に同社より助成金、コンサルティング料等を受領している者が含まれる) 17. Coati I, et al.: Br J Cancer. 2019; 121(3): 257-263. 18. Rohde C, et al.: Jpn J Clin Oncol. 2019; 49(9): 870-876.(本試験はGanymed社の支援により実施された。本論文の著者に同社の社員が含まれる) 19. Kubota Y, et al.: ESMO Open. 2023; 8(1): 100762.(本試験はアステラス製薬の支援により実施された) 20. Waters R, et al.: JCO Precis Oncol. 2024; 8: e2300543.(本試験はアステラス製薬の支援により実施された。本論文の著者に同社より助成金、コンサルティング料等を受領している者、同社の社員が含まれる) 21. 国立がん研究センター : がん情報サービス「がん統計」(全国がん登録 罹患数・率 報告). 2021 22. 国立がん研究センター : がん診療連携拠点病院等院内がん登録  2014-2015年 5年生存率集計 報告書, 2023 23. Angerilli V, et al.: Gastric Cancer. 2025; 28(4): 569-578. 24. Ogawa H, et al.: Gastric Cancer. 2024; 27(4): 802-810. 25. Grillo F, et al.: World J Gastroenterol. 2016; 22(26): 5879-5887.